所在醫(yī)院:無錫維樂口腔門診部
姓 名:孫健
性 別:男
職 務: 醫(yī)生
學 歷: 本科
從醫(yī)時間:2000 至今
職 稱: 醫(yī)師
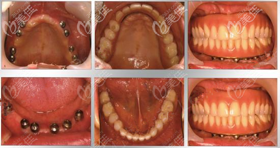
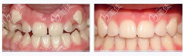
擅長項目: 牙齒
醫(yī)生介紹:孫健醫(yī)生是無錫維樂口腔的種植總監(jiān),AIC種植協會會員,畢業(yè)于佳木斯,從事口腔臨床工作10余年,并多次參加國內外口腔學術交流會,在口腔全科治療中累積了豐富的經驗,有著先進的醫(yī)療理念及治療技術。在工作中可根據實際情況為顧客提供適合的綜合治療方案并順利完成,為人誠懇,工作認真、動作輕柔,全心全意為顧客著想,深得顧客的信任和好...
學習歷程:多次參加國內外口腔學術交流會
職業(yè)經歷:現任無錫維樂口腔醫(yī)生
座 機:400—688—0636
預約微信:
坐診時間:9:00—17:30
編輯:知曉
美佳
美佳網創(chuàng)立于2013年,是一家致力于索引醫(yī)美行業(yè)黃頁信息的搜索引擎,美佳美容是一個醫(yī)美體驗愛好者的分享社區(qū)。“輕美”意味著微整形輕松般的解決美麗問題,也意味著價格適中的美麗體驗。為求美者打造“科技、精準、時尚、服務”四大核心品牌價值。 了解更多>>
關于我們
加入美佳 美佳認證 聯系我們 版權 免責聲明
京ICP備14050283號-12
申明
本網站內容僅供讀者參考,不能作為診斷及治療的依據,本站將不承擔由此引起的法律責任。本站日記/圖片來源于網友分享,無法考證圖片版權來歷,如侵權請權利人
信息處理申請
關注我們